心脏组织的瘢痕形成可以减缓,但无法阻止,而且可能导致心力衰竭。 但一项新的研究表明,现有的一种免疫疗法可以阻止心脏病发作后疤痕组织的形成。当心脏受到损伤(如心脏病发作)时,受损组织通常会结疤。 在短期内,这有助于这个重要器官维持其结构,但问题是这些组织不会跳动。 这就破坏了心脏收缩的节奏,最终可能导致心力衰竭,如果不进行移植等紧急干预,心力衰竭将是致命的。
![图片[1] - 免疫疗法可预防心脏病发作发展为心力衰竭 - 万事屋 | 生活·动漫·娱乐综合社区-银魂同好聚集地](https://www.rei3.com/wp-content/uploads/2024/11/08/3e8c907f62e94348e677d56eaeb484f9.webp)
该研究的资深作者科里-拉文(Kory Lavine)说:”瘢痕组织在心脏中形成后,其恢复能力就会大大减弱,甚至不可能恢复。目前的治疗方法可以帮助缓解症状并延缓病情发展,但我们亟需更好的疗法来真正阻止疾病进程,防止形成新的瘢痕组织而导致心脏功能丧失。 我们希望我们的研究能促成临床试验,研究心衰患者的这种免疫疗法策略”。
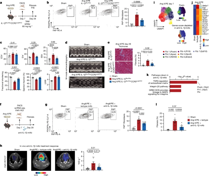
成纤维细胞是帮助生长新结缔组织的细胞,在心脏中有多种类型。 有些成纤维细胞能生长出会跳动的新组织,这对于心脏病发作后修复损伤显然非常重要。 而另一些则会生长出静止的瘢痕组织,最终造成更大的伤害。 识别哪些是疤痕组织是最棘手的部分,但利用新的先进单细胞测序技术,新研究的研究人员能够做到这一点。
首先,研究小组研究了45颗捐献的人类心脏的基因表达,其中包括一些健康的心脏、一些因心脏病发作而受损的心脏和一些长期衰竭的心脏。 由此,他们发现一种名为 FAP+ 成纤维细胞的群体有助于瘢痕组织的形成,但对健康的、跳动的组织没有作用。
接下来,他们开始研究这些细胞是否可以被阻断。 研究发现,一种名为IL-1 beta的信号分子是心脏瘢痕组织形成过程的关键。 研究人员测试了一种能阻断IL-1 beta的单克隆抗体,结果发现,接受治疗的小鼠体内FAP+成纤维细胞减少,瘢痕减少,心脏功能改善。
重要的是,有两种单克隆抗体已获得美国食品及药物管理局批准,可以阻断IL-1信号传导。 虽然这两种抗体目前都用于治疗炎症性疾病,但其中一种抗体曾被评估为动脉粥样硬化的治疗药物,并可能顺便为其在减少心脏瘢痕方面的应用提供了证据支持。
“Lavine说:”尽管这项试验并不是为了测试这种治疗方法是否适用于心力衰竭,但数据暗示这种单克隆抗体可能对心力衰竭患者有益。对该试验数据的二次分析表明,与标准治疗相比,该疗法大大降低了心衰患者的入院率。 我们的新研究可能有助于解释其中的原因。”
这意味着用不了多久,这种免疫疗法就能在临床上用于打破心脏病发作和心力衰竭之间的联系。 不过,还需要做更多的工作来减少其他副作用,包括明显增加的感染风险。
这项研究发表在 Nature杂志上。



文是楼上发的,图是楼上帖的,寻仇请认准对象。
有些是原创,有些图文皆转载,如有侵权,请联系告知,必删。
如果不爽,请怼作者,吐槽君和你们是一伙的!请勿伤及无辜...
本站所有原创帖均可复制、搬运,开网站就是为了大家一起乐乐,不在乎版权。
对了,本站小水管,垃圾服务器,请不要采集,吐槽君纯属用爱发电,经不起折腾。






















暂无评论内容